| News News News ... |
| Ein wichtiges Thema: Epilepsie bei Hunden! |
| |
Wir haben an der Studie in Bern teilgenommen und wenn ihr auch
etwas zur Erforschung der Epilepsie bei Hunden beitragen möchtet,
sind hier die entprechenden Links:
|
|
|
| |
| |
| 11.04.2024 |
| |
Heute ist unsere geliebte Millie gestorben |
| |
Gerade ist Millie in unseren Armen eingeschlafen. Sie kam gestern früh nicht mehr hoch und war dann in der Klinik
mit Infusionen und Behandlung. Es ist ein Krebs an der Milchleiste explodiert. Wir hatten keine Chance. |
| |
|
|
| |
| |
| 26.12.2023 - 28.12.23 |
| |
Wir waren am 26.12.23, am 27.12.23 und am 28.12.23 mit Vivi zum Decken bei Zane
Jetzt ist Vivi schwanger. Sie erwartet Ende Februar, Anfang März ihre Babys.
|
| |
 |
| |
Ein Bild und einige Informationen zum Rüden My trusted friend Xanadu |
| |
 |
| |
| |
| 02.02.2022 |
| |
Madison von Waltenweiler ist am 2. Februar gestorben!
Sie wurde am 27.03.2009 geboren.
Wir trauern mit Simone und ihrer Familie um Millies Schwester Maddie!
Run free, zusammen mit Uroma Bella, Oma Amy, Mami Liese und all den anderen Waltenweilern im Himmel!
|
| |
 |
| |
|
|
| |
 |
| |
| |
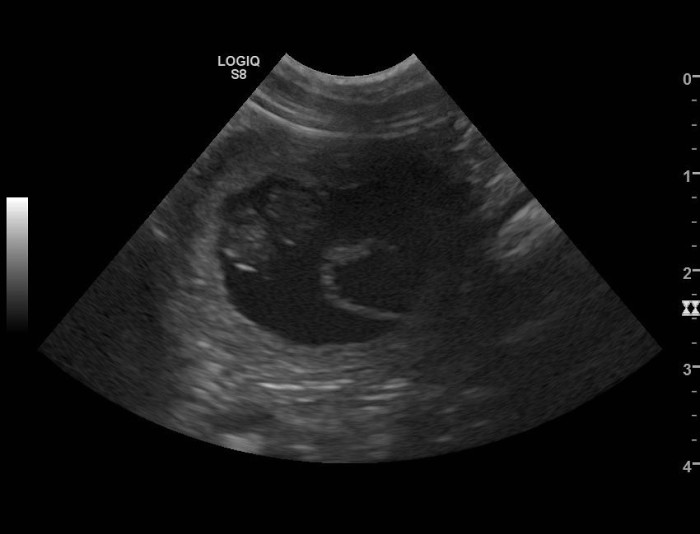
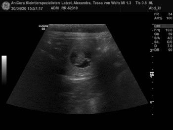
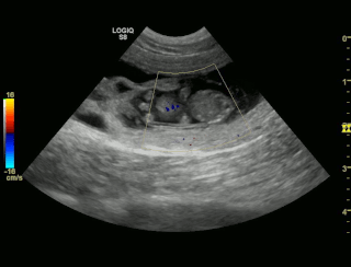
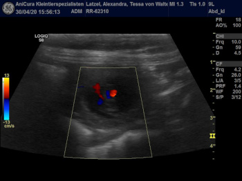
| 04.05.2020 |
| |
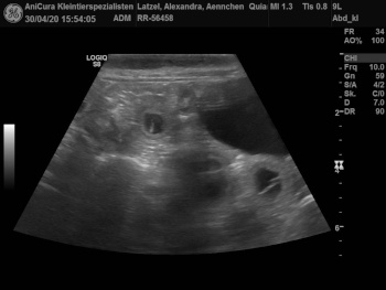
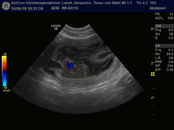
Aennchen und Tessa sind Schwanger! Hier sind die Ultraschallbilder !!! |
| |
|
|
| |
| Die Ultraschallbilder von Aennchen von Waltenweiler!!! |
| |
|
|
| |
| Die Ultraschallbilder von Tessa von Waltenweiler!!! |
| |
| |
| 21.10.2019 |
| |
Gino (Ike) von Waltenweiler ist am 21. Oktober gestorben!
Er wurde am 29.01.2006 geboren. Wir trauern mit Romana. |
| |
|
|
| |
 |
| |
| |
| 15.08.2019 |
| |
Am 15. August ist Indy von Waltenweiler gestorben!
Wir trauern mit Johannes und Kathi um Indy. |
| |
|
|
| |
 |
| |
| |
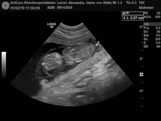
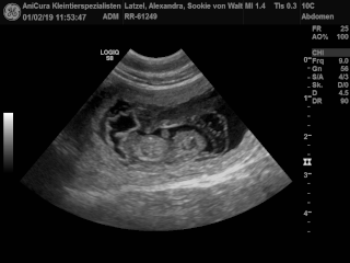
| 01.02.2019 |
| |
Sookie und Uaine erwarten Babies! Die Ultraschallbilder beweisen es! Hier sind die Bilder!!! |
| |
|
|
| |
| Hier sind die Ultraschallbilder von Sookie von Waltenweiler!!! |
| |
|
|
| |
| Die Ultraschallbilder von Uaine von Waltenweiler!!! |
| |
| 10.07.2018 |
| |
| Uaine von Waltenweiler hat ihre Welpen bekommen! - vier Rüden und zwei Mädels |
| |
 |
| |
| 06.07.2018 |
| |
| Tessa von Waltenweiler hat ihre Babies geboren! - vier Mädels und zwei Jungs |
| |
 |
| |
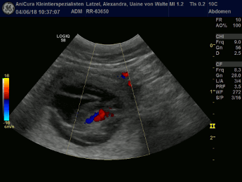
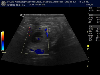
| 04.06.2018 |
| |
Tessa und Uaine sind schwanger! Die Ultraschallbilder beweisen es! Hier die Bilder!!! |
| |
|
|
| |
| Dies sind die Ultraschallbilder von Tessa von Waltenweiler!!! |
| |
|
|
| |
| Hier die Ultraschallbilder von Uaine von Waltenweiler!!! |
| |
| 10.05.2018 |
| |
| Wir waren mit Uaine von Waltenweiler bei Spikey Brown genannt Finn zum Decken!.
|
| |
 |
| |
| 09.05.2018 |
| |
Gordon von Waltenweiler ist am 9. Mai gestorben! |
| |
Gordon von Waltenweiler ist gestorben. Wir trauern sehr mit
Marion und ihrer Familie.
|
 |
 |
|
| |
| 08.05.2018 |
| |
| Wir haben Tessa von Waltenweiler mit Farstar, unseren Deckrüden, gedeckt |
| |
 |
| |
| 12.03.2018 |
| |
Quiana war zum Decken bei Spikey Brown. Wie das Ultraschallbild zeigt, ist sie jetzt schwanger. |
| |
 |
| |
| 04.12.2017 |
| |
Indira von Waltenweiler ist am 4. Dezember gestorben!
Wir trauern sehr mit Beate, Ralf und Carmen.
|
| |
 |
| |
|
|
| |
| 21.11.2017 |
| |
Double Trouble of Sheep´s Shadow, genannt Tikki ist gestorben!
Er war der Vater von unserem W Wurf. Wir trauern mit Karin.
|
| |
 |
| |
| 07.11.2017 |
| |
| Sookies Welpen sind da, fünf Mädchen und ein Rüde |
| |
 |
| |
| Weitere Infos und Fotos unter Würfe. |
| |
| 23.10.2017 |
| |
| Uaines Welpen sind da, ein Mädchen und vier Jungs. |
| |
 |
| |
| Weitere Infos und Fotos unter Würfe. |
| |
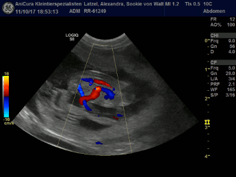
| 11.10.2017 |
| |
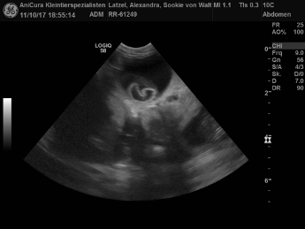
| Sookie ist werdende Mami! Im Ultraschall haben wir vier Welpis gesehen! Hier die Bilder!!! |
| |
|
|
| |
| 8.10.2017 |
| |
Passim Lionel Good as Gold ist gestorben!
Mit großer Bestürzung haben wir erfahren, dass Lionel, der Vater von Millie im Speziellen und der Vater von unserem
L, M, O und P-Wurf gestorben ist. Wir trauern mit Kirsten und Andrè. Es ist genau 12 Jahre und sechs Monate alt geworden...
|
| |
|
|
| |
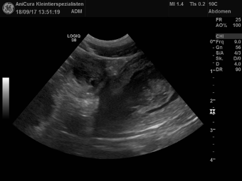
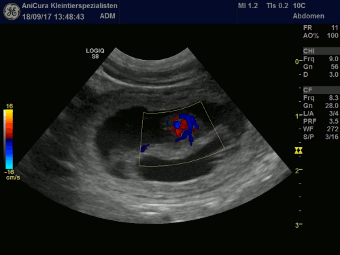
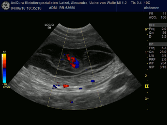
| 18.09.2017 |
| |
| Uaine ist schwanger. Die Ultraschallbilder beweisen es. |
| |
|
|
| |
| 24.08.2017 |
| |
| Wir waren mit Uaine von Waltenweiler bei Spikey Brown genannt Finn zum Decken!.
|
| |
 |
| |
| 14.08.2017 |
| |
Gwenni von Waltenweiler ist von uns gegangen!
Ihre Familie, Jo und Ingrid, hatten 14 schöne Jahre mit Ihr. Wir trauern mit Euch!
|
| |
 |
| |
|
|
| |
| 03.08.2017 |
| |
Leider schon wieder ein Todesfall Oonagh von Waltenweiler ist
am 03.08.2017 verstorben. Wir trauern mit Doris. |
| |
|
|
| |
| 25.07.2017 |
| |
Traurige Nachricht Flash von Waltenweiler, genannt Oscar, musste
am 25.07.2017 eingeschläfert werden. |
| |
 |
| |
|
|
| |
| 01.07.2017 |
| |
| VV 1 Ausstellung in Dachau mit Vianna |
| |
|
|
| |
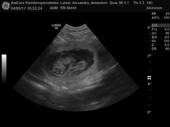
| 04.05.2017 |
| |
| Quiana von Waltenweiler genannt Ännchen ist Schwanger! Hier seht ihr die Ultraschallbilder |
| |
|
|
| |
| 01.05.2017 |
| |
Trauriger Todesfall Gladys von Waltenweiler, genannt Girl,
musste am 01. Mai 2017 eingeschläfert werden. Wieder eine mehr, die gegangen ist... |
| |
| 27.04.2017 |
| |
Wieder ein Todesfall Clay von Waltenweiler, genannt Cit,
ist am 27.04.2017 gestorben. |
| |
 |
| |
|
|
| |
| 07.04.2017 |
| |
| Am 07.04.2017 war ich mit Quiana, genannt Ännchen bei Spikey Brown genannt Finn zum Decken! |
| |
 |
| |
| 14.03.2017 |
| |
Chrissy von Waltenweiler, der Hund von Romana, ist gestorben
Wir trauern mit Dir, liebe Romana |
| |
|
|
| |
| 12.03.2017 |
| |
| Dem R-Wurf herzlichen Glückwunsch zum Geburtstag |
| |
| 17.01.2017 |
| |
| Tessa ist Schwanger! Die Ultraschallbilder beweisen es! |
| |
|
|
| |
| 20.12.2016 |
| |
| Am 20.12.2016 war ich mit Tessa bei Spikey Brown genannt Finn zum Decken! |
| |
 |
| |
| 17.11.2016 |
| |
Abschied nehmen von Mikka
Dandy von Waltenweiler, genannt Mikka ist gestorben. Er war ausgebildeter Therapiehund und Rettungshund und einfach auch der beste
Freund. Wir trauern mit Euch! |
| |
| 19.04.2016 |
| |
Trauriger Todesfall Vance von Waltenweiler, genannt Tolly,
geboren am 05.05.2015 gestorben am 19.04.2016 durch einen Unfall.
Er wurde leider nicht mal ein Jahr alt |
| |
|
|
| |
| 27.03.2016 |
| |

Only sunshine in my Heart von Waltenweiler
Heute Nachmittag ist Sunny, der geliebte Rüde von Uli und Doris verstorben.
Er hatte sich gestern beim Spielen eine Luftröhrenverletzung zugezogen und wurde operiert.
Er war auch wieder zuhause. Sunny bekam allerdings Fieber und starb trotz aller Bemühungen. |
|
 |
|
| |
| 13.08.2015 |
| |
| Quenies Welpen sind da, drei Mädchen und fünf Jungs. |
| |
 |
| |
| Weitere Infos und Fotos unter Würfe. |
| |
| 14.07.2015 |
| |
Quenie war zum Decken bei Tikki. Wie das Ultraschallbild zeigt, ist sie jetzt schwanger. |
| |
 |
| |
| 05.05.2015 |
| |
| Quiana hat Nachwuchs - V-Wurf |
| |
| Am 05. Mai 2015 kamen die Welpen von Quiana zur Welt. |
| |
 |
| |
| Weitere Infos und Fotos unter Würfe. |
| |
| 24.04.2015 |
| |
| Ringtrainingseminar |
| |
| Am 26. April 2015 fand das Ringtrainingseminar in Möttlingen statt.
Alle Teilnehmer möchten sich recht herzlich bei Carolyn Brack für das wunderschöne Seminar bedanken. |
| |
 |
| |
| 14.04.2015 |
| |
| U-Wurf Millies Welpen sind da! |
| |
Am 14.04.2015 kamen Millies Welpen zur Welt. Alle Welpis sind gesund und munter.
Weitere Infos und Fotos unter Würfe. |
| |
 |
| |
| Ab heute, 28.04.2015, machen sie ihre Äuglein auf. |
| |
| 14.04.2015 |
| |
| Der süße Shay hat ein liebevolles neues Zuhause in der Schweiz gefunden. |
| |
 |
| |
| 06. und 07.03.2015 |
| |
 |
| |
Aennchen war am 6. und 7. März zum Decken bei Homer. Aus dieser Verbindung gehen sechs Welpen hervor, wie das Ultraschallbild zeigt. |
| |
 |
| |
| 12., 13. und 14.02.2015 |
| |
| Am 12., 13. und 14. Februar 2015 war Millie zum Decken bei Vincent vow for verity
von der kleinen Arche. Sie haben sich auf Anhieb verstanden. |
| |
 |
| |
| Die Eltern: Millie von Waltenweiler und Vincent vow for verity von der kleinen Arche |
| |
| Die Verbindung war erfolgreich! Hier die Ultraschallbilder zum Beweis |
|
| |
|
|
| |
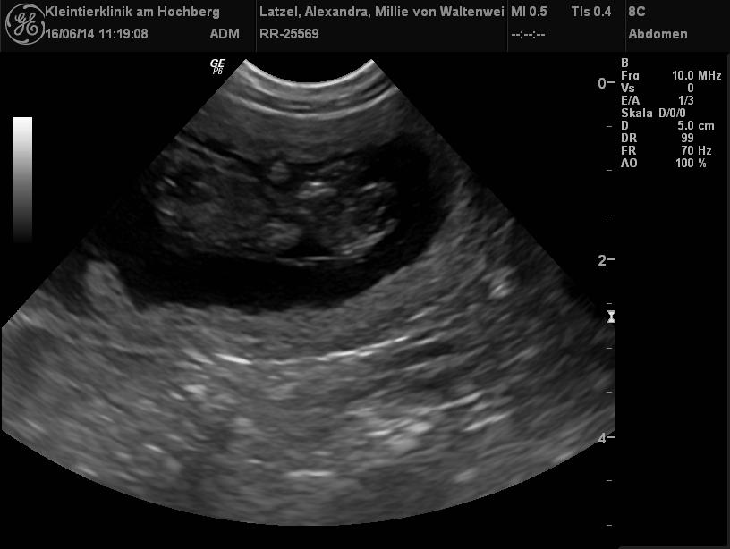
| 15.07.2014 - S-Wurf |
| |
Am 15.07.2014 kamen 5 putzmuntere Welpen zur Welt - 4 Rüden und eine Hündin. Weitere Infos und Fotos unter Würfe. |
| |
 |
| |
 |
| |
| 25.06.2014 |
| |
| Hurra, Millie ist schwanger! |
| |
| Millie war zum Decken bei Vincent vow for verity von der kleinen Arche!
Sie sind ein wirklich schönes Paar! Nun freuen wir uns sehr auf die Welpis aus dieser Verbindung, die wir Mitte Juli erwarten! |
|
| |
 |
| |
| Hier die Ultraschallbilder zum Beweis |
|
| |
|
|
| |
| 02.04.2013 |
| |
| Unsere Zuchtwartin war da und war wieder sehr zufrieden mit uns! Die Welpis haben jetzt die Namen Ridgy-Didge, Rooney und Ryan für die Rüden und
die Mädels heißen Raylynn und Reyna! Mittlerweile wiegen alle mehr als zwei Kilo, tendenz steigend....
Immer öfter sind jetzt auch kleine Ausflüge aus der Kiste angesagt, um mal wenigstens einen kleinen Teil der großen Welt zu erkunden...!
|
| |
|
|
| |
| 12.03.2013 |
| |
| Millies Welpis sind am 12.3. Abends zwischen 22.00 und 23.30 mit Geburtsgewichten zwischen 350g und 390g
auf die Welt gekommen! Es sind drei Jungs und zwei Mädels, alle gesund und proper!!!
|
| |
|
|
| |
| Achtung! |
| |
| Romana hat sich gottseidank von Ihrem schweren Unfall erholt und steht uns nun für ein Agility Seminar
am Donnerstag und Freitag den 16. und 17. Mai auf dem Argenhof zur Verfügung! Alle, die Interesse haben,
bitte sobald wie möglich wegen der Planung bei mir melden! Kirsten, die neue Besitzerin von Lionel, wird auch
da sein! Das ist vielleicht für alle interessant, die Lionel noch nicht persönlich kennen, Grins!!! |
| |
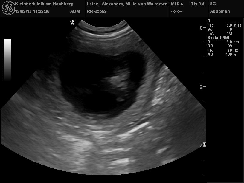
| 12.02.2013 |
| |
| Juhu! Millie ist schwanger! Die Ultraschallbilder beweisen es! |
| |
|
|
| |
| Neuer Wurf im Frühjahr |
| |
Wir waren mit Millie am 12.und 13.01.2013 bei Cosmo (Edge of Eternity von der kleinen Arche) zum Decken.
Die zwei waren sich auf Anhieb sympathisch und nun erwarten wir Anfang März Welpen aus dieser Verbindung! |
| |
|
|
| |
| 16.09.2012 |
| |
| Carola Derst und S`Miley sind Landesmeister Vorarlberg und Tirol! |
| |
 |
| |
| Carola Derst mit S`Miley, Millies Schwester, haben am Wochenende gewonnnnnnen und sind somit Landesmeister Large A3 Vorarlberg und Tirol!!! |
| |
| Na ja, der Tag war lang und anstrengend! |
| |
 |
| |
| S´Miley beim relaxen, Grins! |
| |
| 07.07.2012 |
| |
| Bianca und Maddox sind Südwestdeutscher Meister im Turnierhundesport 2012 |
| |
|
|
| |
| Das Turnier fand in Ladenburg statt. Maddox hat 284 Punkte erreicht; dies war die Gesamttagesbestleistung aller Teilnehmer! |
| |
| !!! ACHTUNG ACHTUNG !!! |
| |
| Das Agilityseminar am 14. und 15.07.2012 auf dem Argenhof findet leider nicht statt. Romana Seiringer hatte einen
schweren Unfall und kann daher nicht kommen. Wir wünschen ihr gute Besserung und eine baldige Genesung. |
| |
| 10.06.2012 |
| |
| Die Welpis sind am Montag den 21.05.2012 zwischen 16.30 und 17.00 Uhr auf die Welt gekommen! |
| |
| Millie hat einen kleinen Zobelrüden, eine sealfarbene, eine schwarz-weiße und eine zobel Hündin geboren!
Die Nachzüglerin, die süße kleine Zobelhündin, konnten wir nicht retten. Sie ist leider trotz allen
kämpfens zwei Tage nach der Geburt gestorben..... |
| |
|
|
Aktuelles aus der Wurfkiste! Die Kleinen entwickeln sich prima. Sie haben die Augen offen und stehen zum Teil auch schon
auf ihren Beinchen, wenn auch noch wackelig! Bei der Geburt wogen die Hundis: 320g der Rüde, 310g die seal Hündin
und 280g die schwarz-weiße Hündin. Mittlerweile wiegt der Rüde schon 1730g, die seal Hündin 1530g und die
Kleinste 1470g! |
| |
|
|
| |
|
|
| |
| !!! ACHTUNG - 14. und 15.07.2012 !!! |
| |
| Romana Seiringer aus Wien hält ein Agilityseminar auf dem Argenhof |
| |
| Am 14. und 15.7.2012 kommt Romana Seiringer aus Wien zu uns. Sie ist geprüfte Trainerin des Schäferhundeverbands
Österreichs und Agilitytrainerin des Österreichischen Gebrauchshundeverbands. Romana hat schon viele, viele Preise gewonnen.
Sie wird ein Agilityseminar auf dem Argenhof bei Christiane Rohn abhalten! Es sind noch ein paar Plätze frei!
Bei Interesse bitte bei mir melden, entweder unter der Telefonnumer 07546/917049 oder per Email
latzel.border@t-online.de.
Der Kurs findet auf jeden Fall statt. Bei schlechtem Wetter gehen wir in die Halle. |
| |
 |
| Agilityseminar bei Romana Seiringer am 10. und 11.07.2010 auf dem Argenhof |
| |
| 20.4.2012 |
| |
| Hurra, jetzt ist es amtlich, Millie ist schwanger! |
| |
 |
| |
| 22. und 23.03.2012 |
| |
|
|
| |
| Millie war am 22 und 23 März zum Decken bei Vincent vow for verity von der kleinen Arche! Siehe Bilder!
Sind sie nicht ein schönes Paar! Mehr Infos zu Vincent findet ihr auf der Homepage von Elke Hirsch (siehe Links).
Trotz meiner Nervosität haben die zwei sich gleich ganz toll verstanden. Nun freuen wir uns sehr auf
die Welpis aus dieser Verbindung! |
|
| |
| 30.03.2012 |
| |
|
|
| |
Heute hat uns leider die traurige Nachricht erreicht, dass Byron nicht mehr lebt. Der Krebs hat gesiegt ...
Wir trauern und leiden mit euch ... |
|
| |
| 25.03.2012 |
| |
| Die Jahresergebnisse 2011 von Romy |
| |
 |
| |
Gino hat alle Qualis für die IMCA WM Ausscheidung gewonnen
5. Platz mit 2 Nullfehler Läufen auf der IMCA Weltmeisterschaft 2011 in Holland
Wintercup 2011/2012 Vizewintercupmeister Large3
|
Chrissy wurde zum 5.mal in Folge Wiener Landesmeister (Oldie Large)
Wintercup 2011/2012 WINTERCUPMEISTER Oldie Large |
|
| |
| Wer mehr über Romana Seiringer wissen möchte, kann folgendes
Zeitungsporträt von Romy lesen. |
| |
| März 2012 |
| |
|
|
| VT-Prüfung von Opal (Snake) im März 2012 in A-Hörbranz |
| |
| 25.04.2011 |
| |
| Hunderennen in Hörbranz am Ostermontag 2011 |
| |
 |
| Familientreffen in Hörbranz - lauter Waltenweiler! |
| |
|
|
| |
| 15.12.2010 |
| |
| Die Jahresergebnisse von Romy |
| |
 |
 |
| |
Gino Steirischer Wintercup Sieger Large 3 ÖGV Cup Sieger Large 3
Agility Champion 2010 ASVÖ-Fun Cup Meister Large 3
Vizeweltmeister Jumping Individual IMCA-WM 3. Platz Large Individual IMCA-WM |
Chrissy Steirischer Wintercup Sieger Oldie Large
ÖGV Cup Sieger Oldie Large ASVÖ-Fun Cup Meister Oldie Large |
|
| |
| 03.12.2010 |
| |
Gute Nachrichten von Mae, HD A, ED 0, Patella
0. Alles in Ordnung bei der feinen Kleinen. |
 |
|
| |
| 16.11.2010 |
| |
 |
|
Maddox und Frauchen
Bianca haben die Begleithundeprüfung abgelegt und
bestanden.
Herzlichen Glückwunsch! |
|
| |
| 02.10.2010 |
| |
Hurra!!! Die Welpen sind da!!! Liese hat vier süße Hundebabies zur Welt gebracht |
| |
 |
| |
| August 2010 |
| |
 |
| Opal (Snake) ist schönster Welpe im August 2010 in Biberach |
| |
| 13.08.2010 |
| |
| Heute haben wir für Millie die Gentest-Ergebnisse
MDR 1 +/+ und CEA +/- (car.) (CEA Träger) erhalten! |
| |
| 08.08.2010 |
| |
Hurra! Heute haben wir für Millie die
Ergebnisse HD A, ED, OCD und Patella Luxation frei bekommen!
Also alles bestens, Grins! |
| |
| 18.07.2010 |
| |
| Die Waltenweiler haben heute abgeräumt. |
| |
|
|
| |
| In Dietenheim beim Cup-Turnier belegten der Reiner
mit Mika (Fernando) den ersten Platz und die Jill mit Iris den 2.
Platz. |
| |
| 10. und 11.07.2010 |
| |
 |
| |
| Am 10. und 11.7.2010 fand das Agility Seminar mit
Romana Seiringer aus Wien statt. |
| |
| !!! ACHTUNG !!! |
| |
| Am 10. und 11.7.2010 kommt Romana Seiringer aus Wien zu uns, um
ein Agility Seminar zu geben! Noch sind ein paar Plätze frei! Also
bei Interesse schnell bei mir melden!!! Der Kurs findet auf jeden
Fall statt, und bei schlechtem Wetter haben wir eine Halle!!! Wer
nicht wissen sollte, wer Romana ist, kann sich bei meinen Links bei
Hütehundesport über Sie informieren!!! |
| |
 |
| |
| Romy, wie sie leibt und lebt: für und mit Ihren
Hunden! |
| |
 |
| |
Romys Borders (beide v. Waltenweiler, Grins) haben
mal wieder mega überlegen (Large 3 mit 16 Punkten und Oldie Large
mit 43 Punkten Vorsprung auf den Zweitplatzierten) den ÖGV-CUP
gewonnen.
Gesamtcupwertung 2010 : 1.Platz Large3 mit Gino und 1. Platz
Oldie Large mit Chrissy |
| |
| 19.06.2010 |
| |
 |
Yipee!!! Die Welpen sind da! Einzelheiten
unter
Würfe und O - Wurf |
| |
| 20. und 21.04.2010 |
| |
 |
Girl war am 20 und 21 April zum Decken bei
Passim Lionel good as Gold! Siehe Bild! Die zwei haben sich gleich
ganz toll gefunden, und nun bin ich sehr gespannt auf die Welpis aus
dieser Verbindung!
|
| |
 |
| |
| 04.07.2008 |
Kirsten hat anlässlich Jasons 2. Geburtstag
super Bilder gesandt, diese findet ihr im
Fotoalbum |
| |
 |
| |
| Auch von der Besitzerin von Noa
(Kylie von Waltenweiler) habe ich Fotos erhalten Diese findet
ihr ebenfalls im Fotoalbum. Dazu gibt es noch dieses tolle Video
von Noa beim Agility |
 |
|
| |
| 30.06.2008 |
| |
Waldspaziergang mit Familie Weber
|
 |
| |
| 29.06.2008 |
| |
| Es gibt wieder Neuigkeiten von Romana, Gina hat sein erste V für
den Aufstieg in die A3 geholt und Chrissy wird ab Herbst in der A3
starten. |
| |
| 27.06.2008 |
| |
Romana hat mal wieder gebastelt, hier das Ergebnis.
|
|
|
| |
| 22.06.2008 |
| |
Romana hat mit ihren 2 Süßen beim 2.Fun Cup HSC-Simmering wieder
zugeschlagen: A2 -Large
Romana mit Ike von Waltenweiler: 1. Platz Jumping Open
Romana mit Georgina v Waltenweiler: 1. Platz Prüfungslauf |
| |
| 14.06.2008 |
| |
Es gibt neue Welpenbilder und ein Fotoalbum
|
 |
| |
| 01.06.2008 |
| |
neues von Romana und ihren Hunden:
3. Jahresmeister, SVÖ Raabtal
LK2-Large: Ike von Waltenweiler 3. Platz (Prüfung), 4. Platz
(Jumping), 2. Platz (Tageswertung)
LK2-Large: Georgina von Waltenweiler 5. Platz (Prüfung), 8. Platz
(Jumping), 6. Platz (Tageswertung) |
| |
| 22.05.2008 |
| |
Wieder ein tolles Ergebnis von Romana und Chrissy:
1. Fun-Cup, ÖGV Vet-Med, Fun Cup - ÖGV Simmering
LK 2 Large:Georgina von Waltenweiler - 1.Platz Prüfung - 2.Platz
Jumping - 1.Platz Tageswertung |
| |
| 17.05.2008 |
| |
Indy hatte ihren ersten Start beim Agility, hier
gibt's die Videos dazu:
|
|
|
| |
| 12.05.2008 |
| |
Die Baby's sind in der Nacht von Sonntag auf Montag
nach Mitternacht, also in dem Fall am 12.05.08 auf die Welt
gekommen, es sind 4 Mädels und ein Junge, das ist der kleine Zobel
mit dem weißen Fleck statt Kragen!
|
 |
| |
| 08.04.2008 |
| |
Wir waren beim Ultraschall und haben eine werdende
Mami!
Hier ist der Beweis!!!
Unser Doc hat es extra nochmals eingegrenzt, zwecks
der besseren Erkennbarkeit
|
 |
| |
| 12 - 14.03.2008 |
| |
Wir waren beim Decken und wenn alles geklappt hat,
erwarten wir für Mitte Mai Welpen aus der Verbindung Passim Lionel
Good as Gold und Elizabeth von Waltenweiler
|
 |
| |
| 10.03.2008 |
| |
Hier die Autogrammkarte von Romana und Chrissy
*ggg*:
|
 |
| |
| 26.02.2008 |
| |
Chrissy (Georgina von Waltenweiler) hat wieder zugeschlagen, sie
hat den steirischen Wintercup 2008, Gesamtwertung in der
Leistungsklasse Large 2, überlegen gewonnen.
|
| |
| 02.02.2008 |
| |
Candy (Conny von Waltenweiler) war wieder in Sachen Dogdance
unterwegs. Beim Turnier in Winterthur wurde sie mit Frauchen Andrea
5. in der Klasse 1 (Gruppe 2).
|
 |
| |
| 12.01.2008 |
| |
| Chrissy (Georgina von Waltenweiler) und Gino (Ike von
Waltenweiler) sind erfolgreich ins neue Agility-Jahr gestartet, sie
belegten mit Romana jeweils den 1. Platz beim Steirischen Wintercup
in ihrer Klasse. |
| |
 |
| |
| 09.12.2007 |
| |
Ein erfolgreicher Tag für die Waltenweiler:
|
 |
|
Romana erreichte mit Chrissy und Gino jeweils den 1. Platz
beim Agility |
| Candy wurde zusammen mit Frauchen Andrea 9. (Klasse 1,
Gruppe 1) beim Dogdance Turnier in Oberammergau. |
|
 |
|
| |
| 01.12.2007 |
| |
Jill hat mit Ihrem Frauchen erfolgreich die Begleithundprüfung
bestanden!!! Demnächst werden wir wohl viel Neues über eine
erfolgreiche Agility Karriere vernehmen!!!
|
 |
| |
| 14.10.2007 |
| |
Chrissy ist SVÖ-BUNDESMEISTER 2007 (LK2 Large)
|
 |
| |
| 02.09.2007 |
| |
Mika (Fernando von Waltenweiler) ist
Schwabenmeister im Agility. Herzliche Gratulation an ihn und sein
Herrchen.
|
 |
| |
| 08.05.2007 |
| |
Nach einer durchwachten Nacht kamen heute morgen 1
Rüde und 2 Mädels auf die Welt, ein Mädel sogar in blau!
|
 |
| |
| 28.03.2007 |
| |
| Amy, Liese und Girl wurden auf TNS getestet, das
erfreuliche Ergebnis: No TNS |
| |
| 03 - 05.03.2007 |
| |
Gladys von Waltenweiler (unser Girl) wurde von Edge of Eternity
von der kleinen Arche (genannt Cosmo) gedeckt. Jetzt hoffen wir für
Mai auf Nachwuchs.
|
 |
| |
 |
| |
| 04.12.2006 |
| |
| Ewok (Ethan von Waltenweiler) hat den ISDS Working
Test bestanden und hat somit jetzt auch ISDS Papiere. |
| |
| 10.11.2006 |
| |
| Chrissy (Georgina von Waltenweiler) hat nach 4 Antritten in der
A2, bereits den Aufstieg in A3 geschafft. |
| |
| 29.10.2006 |
| |
 |
Hazel hat erfolgreich die
Begleithundeprüfung abgelegt. Sie �berraschte ihr Frauchen
mit dem 1. Platz. |
| |
| Chrissy (Georgina von Waltenweiler)
ist seit heute Wiener Landesmeister in A2 Large |
 |
|
| |
| 14.10.2007 |
| |
Tja, ruhig ist es wieder, so ganz ohne Welpi's! Gestern hat uns
der letzte kleine Schatz verlassen! Nun sind wir auch in der Schweiz
vertreten, bisher waren wir das (außerhalb Deutschlands) nur in
Österreich! Nachdem mir dieser Wurf so gut gefallen hat, möchte ich
Gordon gerne als Papi für den letzten Wurf von Amy! Wer also
Interesse hat, bitte rechtzeitig melden!
|
Brief
von Jamie |
| |
| 24.09.2006 |
| |
 |
|
Chrissy (Georgina von Waltenweiler) ist seit heute:
Agility-Vize-Jahresmeister 2006 |
|
| |
| 16.09.2006 |
| |
Heute haben die "Waltenweiler's" auf der Ausstellung in Dachau
zwei erste Plätze(V1) geholt: Ewok-Ethan v. Waltenweiler hat in der
Gebrauchshundeklasse Rüden den ersten Platz belegt.
Hank von Waltenweiler hat in der Rüden, offene Klasse, den ersten
Platz und Sheltisham Sun Shade, genannt Tristan (das ist der Vater
meines I-Wurfs), den zweiten Platz erreicht. Hazel und Girl haben je
ein sehr gut in der offenen Klasse Hündinnen bekommen, Indy hat ein
vielversprechend in der Jüngstenklasse erreicht.
In der Paarklasse haben wir den dritten Platz, und im
Zuchtgruppenwettbewerb den zweiten Rang erreicht! Außerdem ist Girl
zur Zucht zugelassen worden.
|
|
|
| |
| 06.09.2006 |
| |
Heute haben wir die erfreulichen Ergebnisse vom MDR-1 Defekt
Gen-Test zurückbekommen!
Amy, Liese, und Girl haben das Ergebniss "plus-plus", das heißt
meine Mädels sind absolut frei und keine Träger des Defekts!
|
| |
| 24.08.2006 |
| |
Chrissy beim Jahresmeisterlauf!
|
|
|
| |
| 21.08.2006 |
| |
Auf der Clubsiegerschau in Pinkafeld hat Chrissy in der offenen
Klasse ein "Vorzüglich" und Gino in der Jüngstenklasse ein
"Vielversprechend" bekommen!
|
 |
| |
| 04.07.2006 |
| |
| Unser J-Wurf ist da. Näheres hier |
| |
| 01.07.2006 |
| |
Chrissy (Georgina von Waltenweiler) hat bei der
Begleithundeprüfung in der Stufe 3 (Österreich) den 1. Platz
belegt
|
|
|
| |
| 24.06.2006 |
| |
 |
| |
| Candy (Conny von Waltenweiler) bei ihrer
derzeitigen Lieblingsbeschäftigung |
| |
| 18.06.2006 |
| |
Heute hat Ewok (Ethan v. Waltenweiler) den Titel "österreichischer
Meister 2006" beim Hüten in Trialklasse 2 mit 140 von 200 Punkten
errungen! Bin sehr stolz auf die beiden!!!
|
 |
| |
| 17.06.2006 |
| |
Heute haben Romana und Chrissy (Georgina v. Waltenweiler) es
geschafft! Nach vier Wochen hintereinander errungenen Erfolgen haben
die beiden tatsächlich heute das letzte V0 für den Aufstieg in die
A2 geholt!!! Suuuper!!!
|
 |
| |
| 02.06.2006 |
| |
So nah liegen Freud und Leid beieinander, gestern mussten wir
überraschend von Illy (Liza's Border Gillian) Abschied nehmen.
Geliebte Schmusebacke wir werden dich vermissen.
|
 |
| |
| 31.05.2006 |
| |
| Der Besuch beim Doc hat es bestätigt: Liese (Elisabeth von
Waltenweiler) erwartet Anfang Juli ihren ersten Wurf. |
| |
| |
| 27.05.2006 |
| |
Gladys von Waltenweiler, genannt Girl, hat Ihre Begleithundprüfung
in unserer Ortsgruppe erfolgreich bestanden!!!
|
 |
| |
| 03 / 04.05.2006 |
| |
Elisabeth von Waltenweiler wurde von Gordon to
th'moon'n back von der kleinen Arche gedeckt.
|
 |
| |
| 08.05.2005 |
| |
Bei der Schwabensieger-CAC-Zuchtschau in Neckarsulm
hat Girly ein V3 erhalten!
|
 |
| |
| 18.04.2005 |
| |
Girly hat das HD-Ergebniss "A" vom Club für
Britische Hütehunde bestätigt bekommen!
|